کد مطلب: 42821
 
عفونت لثه را جدی بگیرید
عفونت لثه ریسک حملات قلبی و بیماری‌های قلبی و عروقی را افزایش می‌دهد
تاریخ انتشار : شنبه ۱۳ دی ۱۳۹۳ ساعت ۰۷:۴۷
عفونت لثه را جدی بگیرید
 
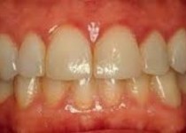
به گزارش زاهدانه ، اکبر فاضل، دندانپزشک گفت: لثه سالم دارای قوام محکمی بوده و کاملأ بر روی استخوان چسبیده است و رنگ آن نیز صورتی است. 
 
وی ادامه داد: تجمع میکروب‌ها در شیار لثه می‌تواند به سلامتی لثه آسیب وارد کند. اگر جرم با مسواک زدن و دهان شویه‌ها از بین نرود دندانپزشک به وسیله کورتاژ عفونت را برداشته و به سلامت لثه و رفع خونریزی کمک می‌کند. 
 
فاضل بیان کرد: عفونت‌های لثه ریسک حملات قلبی و بیماری‌های قلبی و عروقی را۳-۴ برابر بیشتر می‌کند، همچنین عفونت‌های ریوی و عفونت‌های تنفسی نیز۳-۴ برابر افزایش پیدا می‌کند. 
 
وی در مورد تأثیر دارو‌ها گفت: برخی دارو‌ها تأثیر مثبت دارند، نظیر آنتی‌بیوتیک‌ها و دهان شویه‌های آنتی باکتریال به دلیل کاهش عفونت‌ها باعث بهبود لثه می‌شوند، در مقابل برخی دارو‌ها عوارضی دارند. 
 
دکتر فاضل در پایان گفت: زمانی که عفونت‌های لثه پیشرفته باشد با روش‌های ساده و معمول نظیر مسواک، جرم‌گیری و کورتاژ قابل درمان نباشد، جراحی لثه توصبه می‌شود. 
 
 
انتهای پیام/
Share/Save/Bookmark