کد مطلب: 38002
 
زنی که با نصف مغز زندگی می کند +عکس
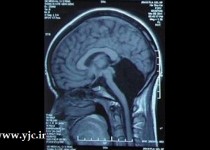
اسکن ها نشان می دهد که این خانم تنها با قسمتی از مغزش که مسئولیت حرکات بدن، تعادل و صحبت کردن را دارد به دنیا آمده است. پزشکان در مورد این خانم دچار شک شده اند که چطور او تا به این سن زنده مانده است.
تاریخ انتشار : سه شنبه ۲۵ شهريور ۱۳۹۳ ساعت ۲۲:۴۸
زنی که با نصف مغز زندگی می کند +عکس
 
یک خانم چینی پس از 24 سال زندگی متوجه شد که نیمی از مغز او وجود ندارد و جمجعه اش تقریبا نصفه پر شده است. این مشکل بسیار نادر است و سال ها بود که کسی با این وضعیت رویت نشده بود.

پزشکان بیمارستان نظامی در منطقه شاندونگ پس از مراجعه این خانم از او آزمایش هایی گرفتند که در نهایت مشخص شد وی با نیمی از مغزش زندگی می کند. این خانم به خاطر سردردهای دائمی و سرگیجه به بیمارستان مراجعه کرده بود.


اسکن ها نشان می دهد که این خانم تنها با قسمتی از مغزش که مسئولیت حرکات بدن، تعادل و صحبت کردن را دارد به دنیا آمده است. پزشکان در مورد این خانم دچار شک شده اند که چطور او تا به این سن زنده مانده است.

این مشکل باعث شده است که وی تا سن 6 سالگی توانایی صحبت کردن را نداشته و برای اولین بار در 7 سالگی روی پای خودش ایستاده است. به نظر می رسد که این مادر این خانم در دوران بارداری دچار بیماری خاصی شده که این مشکل نتیجه آن بوده است.
Share/Save/Bookmark